Patient results

See the difference orthodontic treatment can make in a smile. Here are real before and after photos from our happy patients at Profile Orthodontics.

Patient results
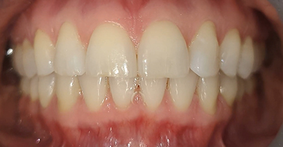
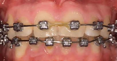
Kirsten
Age

27

DURATION

11 months

TREATMENT

Aligners

ISSUE

Deep overbite, moderate crowding of upper and lower teeth, canine tooth displaced in palate

Rebecca
Age

14

DURATION

26 months

TREATMENT

Braces, no extractions

ISSUE

Severe crowding upper and lower teeth

Natasha
Age

16

DURATION

26 months

TREATMENT

Upper and lower braces with extraction of two upper premolar teeth

ISSUE

Deep overbite, moderate crowding of upper teeth, severe crowding of lower teeth, recessed lower jaw

Justin
Age

21

DURATION

32 months

TREATMENT

Fixed plate with upper surgical expansion, braces and jaw surgery

ISSUE

Prominent lower jaw sitting too far forward, upper front teeth sitting behind lower front teeth (underbite)

Hannah
Age

13

DURATION

15 months

TREATMENT

Rapid Maxillary Expansion (RME) fixed plate, braces, no tooth extractions

ISSUE

Narrow palate, moderate crowding of upper and lower teeth, prominent upper front teeth

Pascale
Age

36

DURATION

13 months

TREATMENT

Aligners followed by prosthedontics (veneers)

ISSUE

Preparation for veneers

Nikola
Age

28

DURATION

30 months

TREATMENT

Braces followed by prosthodontics (veneers)

ISSUE

Displaced upper left canine tooth on palate, baby canine tooth still in place, severe crowding of upper and lower teeth, significant tooth wear

Thanish
Age

15

DURATION

14 months

TREATMENT

Aligners

ISSUE

Flared and prominent upper and lower front teeth, increased overjet, spacing between teeth

Logan
Age

13

DURATION

16 months

TREATMENT

Braces, no extractions

ISSUE

Severe crowding of upper and lower teeth, lower canine sitting in front of upper lateral incisor (crossbite)

Isla
Age

13

DURATION

17 months

TREATMENT

Rapid Maxillary Expansion (RME) fixed plate, braces, no extractions

ISSUE

Severe crowding of upper and lower teeth, lower canine sitting in front of upper lateral incisor (crossbite)

Robert
Age

14

DURATION

25 months

TREATMENT

Rapid Maxillary Expansion (RME) fixed plate, braces, extraction of 4 premolars

ISSUE

Severe crowding with asymmetry of lower jaw

Anabelle
Age

14

DURATION

16 months

TREATMENT

Braces, no extractions

ISSUE

Severe crowding with overbite

Lucas
Age

13

DURATION

17 months

TREATMENT

Rapid Maxillary Expansion (RME) fixed plate, braces, no extractions

ISSUE

Severe crowding of upper and lower teeth with asymmetry of the lower jaw

Mahi
Age

13

DURATION

16 months

TREATMENT

Braces, no extractions

ISSUE

Moderate crowding of upper and lower teeth with asymmetry of the lower jaw

Like what you see?

Your smile could be next! Book a consultation with our team today to get started.

Book a consultation
Like what you see?